Skip to main content
We're Open! See Our Safety Measures
OC Healthy Smiles
Free custom whitening trays for all new patients

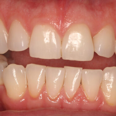
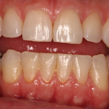
Invisalign 14

Back To Invisalign Gallery
Oc Healthy Smiles

2900 Bristol st. A205
Costa Mesa, CA 92626

(714) 422-0596

Get Directions
Connect With Us

Hours of Operation

Monday – Wednesday: 7:00 AM – 7:00 PM
Thursday: 10:00 AM – 7:00 PM
Friday – Sunday: Closed